Ankle Fusion Surgery

Procedure that permanently joins the bones of the ankle to alleviate pain and provide stability for severe joint conditions such as arthritis or deformities.

Book An Appointment

ANKLE FUSION SURGERY

What is Ankle Fusion Surgery?

Ankle fusion surgery is a procedure that permanently fuses the bones of the ankle joint together to treat severe ankle arthritis or chronic instability. It aims to alleviate pain and improve stability but results in a loss of ankle motion.

Ankle Fusion Surgery involve

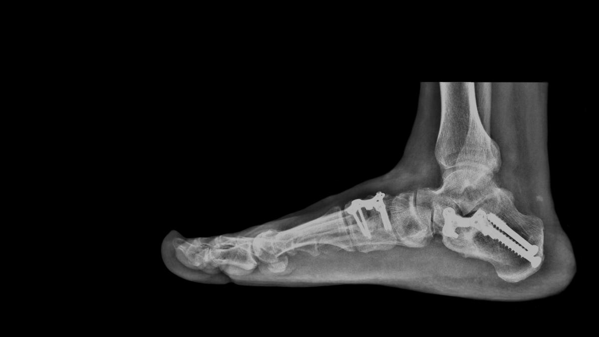
Ankle fusion surgery, also known as ankle arthrodesis, involves the following steps:

  • Incision: The surgeon makes an incision on the front or side of the ankle to access the joint.
  • Joint Preparation: The damaged cartilage and any loose fragments within the ankle joint are removed.
  • Bone Preparation: The surfaces of the tibia (shinbone) and talus (ankle bone) are carefully prepared by removing the remaining cartilage, exposing healthy bone.
  • Bone Alignment: The surgeon aligns the tibia and talus bones in the proper position, ensuring optimal contact and stability for fusion.
  • Fixation: Metal screws, plates, or rods are used to hold the bones in place and maintain proper alignment during the healing process.
  • Closure: The incision is closed using sutures or staples.
  • Immobilization: Following the surgery, the ankle is typically immobilized using a cast, brace, or external fixator to protect the fusion and promote healing. The period of immobilization may last for several weeks or months.
  • Rehabilitation: After the initial healing phase, a structured rehabilitation program is initiated. This involves physical therapy exercises to restore strength, flexibility, and function to the surrounding muscles and joints. The duration and intensity of rehabilitation depend on the individual’s progress and the specific surgical technique used.

Need of Ankle Fusion Surgery

Ankle fusion surgery is typically recommended in the following situations:

  • Severe Ankle Arthritis: When conservative treatments, such as medication, physical therapy, or injections, fail to provide sufficient relief from chronic ankle pain, stiffness, and functional limitations caused by severe arthritis, ankle fusion surgery may be considered.
  • Failed Previous Surgeries: If previous ankle surgeries, such as ankle ligament reconstruction or ankle replacement, have been unsuccessful in addressing the underlying issue or providing long-term relief, ankle fusion surgery may be necessary.
  • Ankle Instability: Chronic ankle instability, often resulting from ligamentous laxity or repeated ankle sprains, can lead to ongoing pain and recurrent ankle giving way. In such cases, ankle fusion surgery may be recommended to stabilize the ankle joint.
  • Certain Traumatic Injuries: Severe fractures of the ankle joint or damage to the cartilage and surrounding structures may require ankle fusion surgery to stabilize the joint and promote proper healing.

FAQ

General Questions & Answer

Address

Roding Ln S, Ilford IG4 5PZ, United Kingdom

Contact

+44 7534 887 232
info@londonfootandankle.com

Book An Appointment

Subscribe to our Newsletter to stay up to date on the latest news